Fatal Wilkie’s Syndrome Complicated by Aspiration Pneumonia in an Adolescent with Autism: A Case Report

Fatal Wilkie’s Syndrome in An Adolescent with Autism
Vol. 21 No. 1 : 2026 (563-569)

Nurhuda Nadzri Nurhuda Nadzri
Ismail Mohd Saiboon Ismail Mohd Saiboon

Abstract
Superior mesenteric artery syndrome (SMAS), or Wilkie’s syndrome, is a rare cause of duodenal obstruction, whereby the duodenum is compressed between the superior mesenteric artery (SMA) and abdominal aorta (AA) due to a loss of mesenteric fat pad. This condition is associated with high morbidity and mortality, particularly if the diagnosis is delayed, leading to complications such as gastric perforation or aspiration pneumonia. A 14-year-old boy with an underlying severe autism spectrum disorder, complained of a two-day history of abdominal pain and vomiting, suggestive of gastric outlet obstruction, leading to hyperlactatemia and metabolic acidosis. An immediate contrast-enhanced computerised tomography revealed a significant dilatation of the lower esophagus until the D3 segment of the duodenum, narrowing of the aortomesenteric angle, and shortening of the aortomesenteric distance, findings suggestively of duodenal obstruction secondary to SMAS. However, patient subsequently developed persistent vomiting leading to aspiration pneumonia. He rapidly deteriorated into septic shock with multiorgan failure, ultimately leading to his death. This case report aimed to highlight the challenges in diagnosing and managing SMAS particularly in autistic children as they may have difficulty communicating their distress, and there is a potential of rapid deterioration that requires prompt escalation of care.
Keywords : Aspiration pneumonia; autism spectrum disorder; fatal outcome; superior mesenteric artery syndrome,
Abstrak
Sindrom arteri mesenteri superior (SMAS), atau sindrom Wilkie, merupakan punca penghalang duodenum yang jarang berlaku, di mana duodenum terhimpit antara arteri mesenteri superior dan aorta abdomen akibat kehilangan lapisan lemak mesenteri. Keadaan ini dikaitkan dengan kadar morbiditi dan kematian yang tinggi, terutamanya apabila berlaku kelewatan dalam diagnosis, yang boleh menyebabkan kepada komplikasi seperti perut bocor atau aspirasi radang paru-paru. Seorang kanak-kanak lelaki berusia 14 tahun dengan sejarah gangguan spektrum autism tahap tinggi, mengadu muntah dan sakit perut selama dua hari, yang menunjukkan penghalang outlet perut, kemudian menyebabkan kandungan laktat dalam darah yang tinggi dan asidosis metabolik. Tomografi berkomputer dengan peningkatan kontras menunjukkan pengembangan ketara pada esofagus bawah hingga ke segmen D3 duodenum, penyempitan sudut aortomesenterik, serta pemendekan jarak aortomesenteric, iaitu penemuan yang menunjukkan penyumbatan duodenum disebabkan SMAS. Walau bagaimanapun, pesakit kemudiannya telah muntah berterusan yang membawa kepada aspirasi radang paru-paru. Keadaan pesakit semakin merosot kepada kejutan sepsis dengan kegagalan pelbagai organ, yang akhirnya membawa kepada kematian. Laporan kes ini bertujuan untuk menyoroti cabaran dalam diagnosis dan rawatan SMAS terutamanya pada kanak-kanak austistik kerana mereka mungkin mempunyai kesukaran menyatakan kesakitan atau ketidakselesaan, di samping risiko kemerosotan yang cepat yang memerlukan penjagaan rapi yang segera.
Kata Kunci : Aspirasi radang paru-paru; gangguan spectrum autism; kesudahan maut; sindrom arteri mesenteri superior,

Correspondance Address
Ismail Mohd Saiboon. Department of Emergency Medicine, Faculty of Medicine, Universiti Kebangsaan Malaysia, Jalan Yaacob Latif, Bandar Tun Razak, 56000 Kuala Lumpur, Malaysia. Tel: +6019 3200297 E-mail: fadzmail69@yahoo.com.my


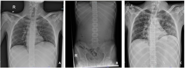
FIGURE 1: (A) Chest radiograph revealed an elevated left hemidiaphragm with absent of gastric bubble; (B) Abdominal radiograph revealed a paucity of small bowel gases that suggest proximal intestinal obstruction; (C) Chest radiograph taken post-intubation revealed bilateral alveolar opacities after the patient aspirated