Breaking News
  • Editor's Top Picked Article Vol 20(1), Jan 2025 issue
  • Important Announcement : APC
  • Editor's Top Picked Article Vol 18(2), 2023
  • Editor's recommended article Vol 18(1), 2023
Home

Main navigation

  • Home
  • About
    • About Us
    • Aim and scope
    • Editorial Board
    • Editorial Policies and Ethics
    • Fee policy
    • Browse Issues
  • Issues

    CURRENT ISSUE

    Vol. 20 No. 10 (suppl) : 2025
    BRIOWSE ISSUES

    Latest Issues

    • Regional Congress of The Perinatal Society of Malaysia
      Issue 17 Dec, 2025
      Vol. 20 No. 10 (suppl) : 2025
    • 29th Malaysian Conference of Psychological Medicine
      Issue 18 Nov, 2025
      Vol. 20 No. 9 (suppl) : 2025
    • Postgraduate Research Conference 2025
      Issue 18 Nov, 2025
      Vol. 20 No. 8 (suppl) : 2025
    • 1st Asean Conference on Shariah-compliant Healthcare
      Issue 13 Nov, 2025
      Vol. 20 No. 7 (suppl) : 2025
    • Parasitology & Tropical Medicine Symposium
      Issue 04 Nov, 2025
      Vol. 20 No. 6 (suppl) : 2025
    more issues

    FEATURED

    medhealth
    20 Jan, 2025

    Vol. 20 No. 1 : 2025

  • For Authors
    • Guidelines for Authors
    • Keyword guideline (MeSH)
    • Submit Manuscript
  • For reviewer
    • Peer Review Process
  • Contact

Menu second

  • About
  • Issues
  • Gallery

Breadcrumb

  1. Home
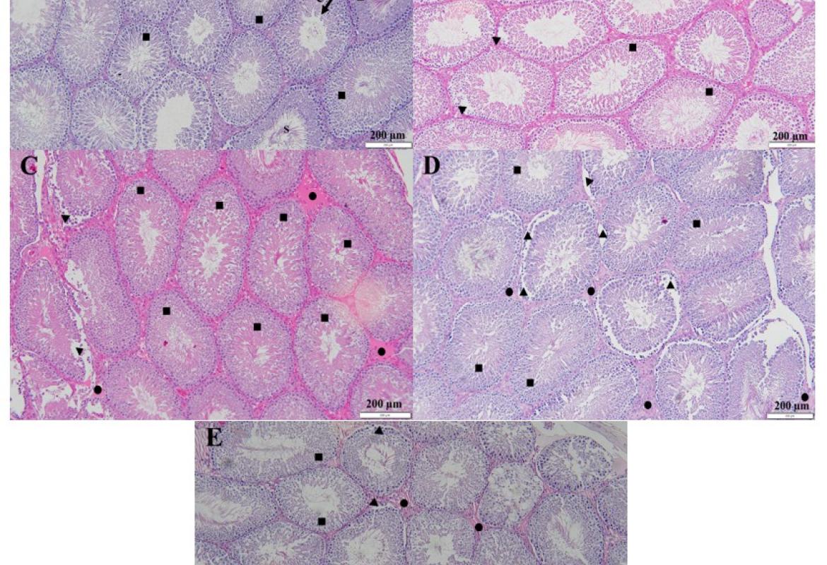
Haematoxylin and Eosin (H&E) staining of the testis sections for each experimental group. Figures were recorded under 10x magnification. (A) Control; (B) EBN; (C) Wi-Fi 1; (D) Wi-Fi 2; (E) EBNW group. S represented spermatozoa; GC represented germinal epithelium; ■ represented a normal arrangement of seminiferous tubule; ▲represented detachment/free spaces of the cells from the basement membrane; ● showed pink edematous lesion (shading different in Figure 1B to 1E)

Testicular Morphological Alterations in 2.45 GHz Wi-Fi Exposed Rat Pups and The Mitigating Effects of Edible Bird Nest

Original Article 21 Jul, 2025

Kok Yong Chin

  • Read more about Kok Yong Chin

Fazaine Zakaria

  • Read more about Fazaine Zakaria

Geetha Gunasekaran

  • Read more about Geetha Gunasekaran

Jazween Loo

  • Read more about Jazween Loo

Muhammad Aiman Husnun

  • Read more about Muhammad Aiman Husnun

Abdulhakeem Bello

  • Read more about Abdulhakeem Bello

Siti Nurliyana Mohd Yazid

  • Read more about Siti Nurliyana Mohd Yazid

Xin Yee Tan

  • Read more about Xin Yee Tan

Jo Aan Goon

  • Read more about Jo Aan Goon

Pagination

  • First page « First
  • Previous page ‹ Previous
  • …
  • Page 6
  • Page 7
  • Page 8
  • Page 9
  • Current page 10
  • Page 11
  • Page 12
  • Page 13
  • Page 14
  • …
  • Next page Next ›
  • Last page Last »
Subscribe to

Recent Articles

  • 01
    31st Regional Congress of The Perinatal Society of Malaysia
  • 02
    Postgraduate Research Conference 2025
  • 03
    29th Malaysian Conference of Psychological Medicine
  • 04
    1st Asean Conference on Shariah-compliant Healthcare
  • 05
    Parasitology & Tropical Medicine Symposium
  • 06
    2nd Asia Oceanic Society of Paediatric and Adolescent Gynaecology (AOSPAG) Congress

Contact info

Secretariat of Research & Innovation, Faculty of Medicine Universiti Kebangsaan Malaysia
Level 6, Preclinical Building,
Jalan Yaacob Latif,
Bandar Tun Razak,
56000 Cheras
  • Kuala Lumpur, Malaysia
  • 03-91458798
  • medhealthukm@gmail.com

Explore

  • About Us
  • Advertise
  • Terms & Conditions
  • Privacy Policy
  • Careers
  • News

Guidelines

  • Author guidelines
  • Keyword guideline (MeSH)
  • Reviewer Guidelines

Newsletter subscription

Subscribe to our newsletters. Never miss an issue or our latest news.
The subscriber's email address.
Manage existing

User login

"Start your submission journey and see your research make a greater impact."

© Copyright Medicine and Health UKM 2025. All Rights Reserved.